Dr. Leonardo Ramos Guedes

CRO-SP 92604

Dentista e Consultório Odontológico
Experiência de 18 anos na Odontologia
Especialista em Implantodontia

Dr. Leonardo Ramos Guedes

CRO-SP 92604

Graduado pela Universidade José do Rosário Vellano (Alfenas-MG), em 2006.
Especialista em implantodontia, pós graduado pela instituição Profis (Bauru-SP).

Atua nas áreas de clinica geral, prótese, cirurgia e implante.

Missão:
Oferecer e realizar,um tratamento odontológico com excelência, levando assim uma melhor qualidade de vida ao paciente.

Visão:
Estar sempre atualizado e capacitado, com as inovações científicas e técnicas, dos dias atuais.

Valores:
Ética na realização do tratamento e para com o paciente.
Respeito ao paciente.
Disciplina na vida e na profissão.

Tratamentos

Check-up Preventivo Digital
Dentística
Prótese
Cirurgia
Implantodontia
Ortodontia
Odontopediatria
Endodontia ( tratamento de canal)
Lente de contato e Faceta
Harmonização Facial

Depoimentos

Abaixo, você confere depoimentos de nossos clientes, compartilhando um pouco de suas experiências conosco.

Eliezer

Solange

Alex

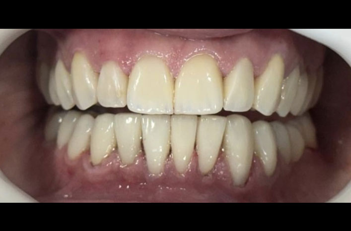
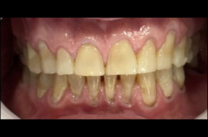
Antes e Depois

Fale Conosco

Para orçamento, dúvidas ou mais informações contate-nos através de um de nossos canais de comunicação, ou preencha o formulário, entraremos em contato o mais rápido possível.
Copyright © 2025 LRG Odontologia, Todos os direitos reservados